网站首页 | 欢迎访问潍坊市第二人民医院官网今天是 : 2026年05月31日 星期日
医院地址:潍坊市奎文区院校街7号
联系电话:0536-8233405
医院邮箱:wfdeyy@126.com
寸“肺”必争:AI助力精准手术,为每位患者量身定制
发布时间:2024-03-15 文章出处:
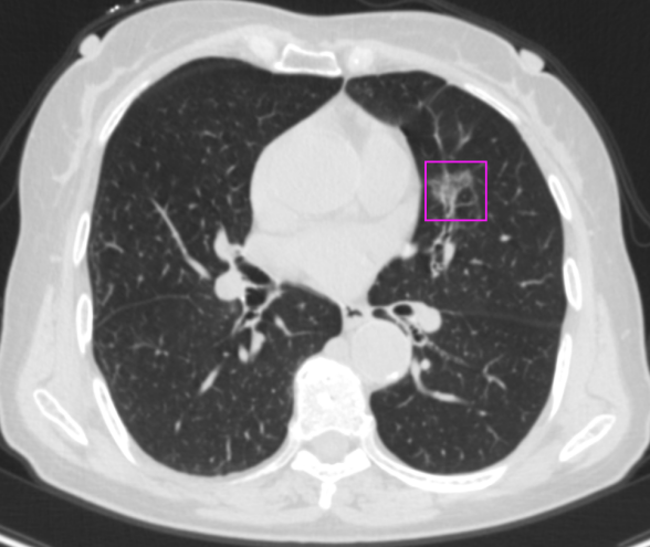
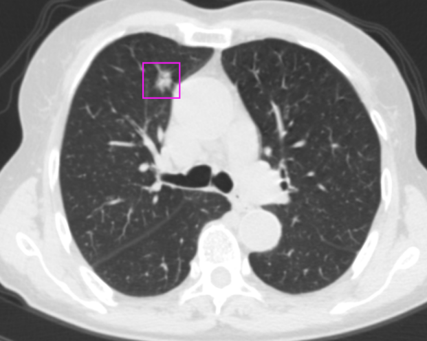
一次感冒,发现双肺结节 患者李女士:“我是由于一次感冒,在老家拍摄胸部CT后发现有双肺结节,后来在家人的陪同下来到市第二人民医院就诊。经过王述波主任团队的手术治疗,顺利地切除了结节,不再担惊受怕了。” 在发现肺结节1个月后,李女士被王述波主任手术团队接诊。团队进行评估发现,该患者CT提示右肺上叶毛刺状结节、左肺上叶混合密度结节,考虑早期肺肿瘤可能性大。(右肺上叶前段结节;左肺上叶上舌段结节) “量体裁衣“精准手术,术后4天康复出院 王述波、王永明主任团队在胸外手术规划系统的指导下,经过术前评估和讨论,决定采取分阶段的手术方案以最大程度地确保手术的成功和患者的安全。 首先,对患者右肺上叶前段采用肺段切除手术进行优先处理。利用系统提供的精准定位功能,准确识别结节周围的血管位置、安全切除范围。术中,在胸腔镜下准确裁剪,保证切缘,确认切除了患者右肺上叶前段肺组织。 最终这例手术过程顺利,术后患者4天康复出院,没有不良反应。(右肺上叶前段病灶阻断血管三维重建图) AI+3D助力手术,消除患者后顾之忧 潍坊市第二人民医院(潍坊呼吸病医院)2024年初引进的3D手术规划系统,为每位患者量身定制了精准的手术方案,在AI+三维重建技术的加持下,为实现精准的肺段及肺亚段切除提供了强有力的支持,达到“量体裁衣”的目的。在术前患者能够清晰了解治疗过程,解除了早期肺癌可能带来的焦虑感,使得治疗过程更加透明和可信。 健康之路,我们与您同行 潍坊市第二人民医院(潍坊呼吸病医院)胸外科是市级医学重点学科,全科医护人员以学科建设、新技术引进和创新为切入点,加强人才培养和引进,现已形成集医疗、教学、科研于一体,具有明显特色和优势的学科。近年来,胸外科开展了气管支气管成形术,肺、食管联合切除手术、单孔胸腔镜肺叶切除、单孔胸腔镜肺段切除、胸腔镜下袖式切除、人工胸骨移植手术、食管癌二切口、三切口,二、三野淋巴清扫等一系列高难度手术,居国内领先水平。由胸外科领衔的肿瘤综合治疗会诊制度,涉及到胸外、呼吸、肿瘤内科、放疗科、放射科等多个专业,对每一位胸部肿瘤患者就诊断、鉴别诊断、治疗及预后等方面进行多学科会诊,受到了全市乃至全省专业同行的认可。咨询电话:0536—8214091/8214109 科普链接 胸腔镜下肺段切除术胸腔镜下肺段切除术,又称胸腔镜下解剖性肺段切除术,采用微创方式将小病变所在的肺段精准切除,在保证肿瘤手术根治的同时,最大限度保留了正常的肺组织,降低了肺功能的损失,实现了真正意义上的微创。
近年来,胸外科开展了气管支气管成形术,肺、食管联合切除手术、单孔胸腔镜肺叶切除、单孔胸腔镜肺段切除、胸腔镜下袖式切除、人工胸骨移植手术、食管癌二切口、三切口,二、三野淋巴清扫等一系列高难度手术,居国内领先水平。
由胸外科领衔的肿瘤综合治疗会诊制度,涉及到胸外、呼吸、肿瘤内科、放疗科、放射科等多个专业,对每一位胸部肿瘤患者就诊断、鉴别诊断、治疗及预后等方面进行多学科会诊,受到了全市乃至全省专业同行的认可。
咨询电话:0536—8214091/8214109
胸腔镜下肺段切除术,又称胸腔镜下解剖性肺段切除术,采用微创方式将小病变所在的肺段精准切除,在保证肿瘤手术根治的同时,最大限度保留了正常的肺组织,降低了肺功能的损失,实现了真正意义上的微创。