网站首页 | 欢迎访问潍坊市第二人民医院官网今天是 : 2026年05月31日 星期日
医院地址:潍坊市奎文区院校街7号
联系电话:0536-8233405
医院邮箱:wfdeyy@126.com
王文林教授工作室完成不对称漏斗胸矫形术,重塑患者“心”生
发布时间:2025-07-01 文章出处:
近日,潍坊市第二人民医院(潍坊呼吸病医院)王文林胸壁外科工作室再传佳音,王文林教授来潍为一名饱受不对称性漏斗胸困扰的成年女性患者实施高难度矫形手术。患者胸壁完美重塑,心脏压迫彻底解除,重拾自信人生。
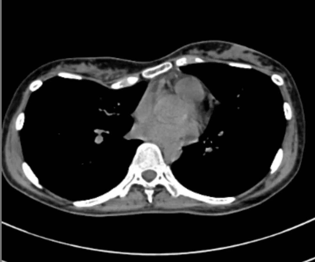
患者情况患者李女士(化名)自幼发现前胸壁凹陷,右侧尤为明显。随着年龄增长,畸形逐渐加重,不仅频繁出现阵发性胸闷,更因外形异常陷入深度自卑。“心脏仿佛被压住,连呼吸都不敢用力。”李女士坦言,畸形带来的不仅是生理不适,更让她常年躲避社交,严重影响生活质量。经多方咨询,她最终选择王文林教授团队寻求彻底治疗。
精准施术:40分钟破解复杂难题
术前检查显示,李女士前胸壁呈显著不对称凹陷,最深点位于右侧,心脏受压移位明显。团队综合评估后,决定采用国际领先的Wung手术方案。手术在全麻下实施,王文林教授亲自主刀,于侧胸壁做切口。经侧胸壁精准入路,全程保护乳腺及软组织,巧妙植入两块特制钢板,同步矫正凹陷与不对称。全程仅40分钟,零输血、零并发症,术后畸形彻底消失。
“漏斗胸的特征是前胸壁凹陷,但凹陷有多种形式,其中不对称性凹陷是较为复杂的漏斗胸类型。”王文林教授强调,这种畸形的治疗需要特殊技巧,“如果手术经验不足,术前没有精心的手术设计,不但难以获得好的效果,反而可能导致新畸形。”